Cracking the Cardiac Code: Understanding Ptca And What It Means For Heart Health
Cracking the Cardiac Code: Understanding Ptca And What It Means For Heart Health
When it comes to medical terminology, deciphering complex abbreviations can be a daunting task, especially for those within the medical field. One such abbreviation that requires clarification is Ptca. This cardiac abbreviation might seem unfamiliar to some, but it holds significant importance for heart health. Understanding Ptca and its implications can spark meaningful conversations and foster better healthcare experiences for patients.
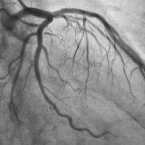
Ptca is an acronym that stands for Percutaneous Transluminal Coronary Angioplasty, a minimally invasive treatment used to open up blocked coronary arteries in the heart. In simpler terms, it's a procedure that helps restore blood flow to the heart muscle by inflating a balloon to widen narrow or blocked arteries. This life-saving treatment has become increasingly popular within the medical community due to its effectiveness and relatively low risk.
When a person experiences a heart attack, blood flow to the heart is disrupted, causing damage to the tissues. Ptca saves lives by providing an alternative to traditional coronary bypass surgery, which, while effective, carries a higher risk of complications. Modern technology has significantly reduced the risks associated with Ptca, and recovery times have decreased dramatically.

The success of Ptca lies in its simplicity and the access it provides to the blocked arteries. A stent is a small, mesh-like tube that is gently inserted into the artery through a small incision in the leg. It is then guided to the blocked section of the artery before being inflated at various points to ensure its proper positioning. Once the arteries are widened and blood flow is restored, the stent remains in place to prevent further blockages.
Most patients who undergo Ptca experience relief from symptoms within a matter of minutes. This rapid recovery makes it an attractive option for those seeking an alternative to open-heart surgery. The effectiveness of Ptca in treating blocked arteries has led researchers to continually improve the procedure, exploring new technologies designed to further minimize risks while maximizing results.

Because of its effectiveness and relatively low risk, Ptca has become an increasingly common treatment option. The minimal invasiveness of Ptca reduces the trauma to the body and speeds up recovery times. However, as with any medical procedure, there are potential risks and side effects to be aware of.
One such risk is the formation of blood clots at the site where the stent was inserted. Regulatory bodies closely monitor stent design and materials to ensure the minimization of such occurrences. Nevertheless, there is a small chance of these complications arising. On the other hand, many patients report improved quality of life post-Ptca. Informed decision-making between a patient and their healthcare provider remains key in addressing concerns related to the potential risks associated with any medical procedure.
Improved stent designs continue to push the boundaries of heart health. Biodegradable stents, which are made from materials that break down within the body over a set period, offer a significant advantage in preventing long-term complications often associated with traditional stent insertion. However, the use of biodegradable stents is still considered an emerging technology and may not be as widely available as other stent varieties.
Even with the evolution of Ptca, discussions surrounding its risks and benefits can leave some patients and families perplexed. To help clarify these points, understanding the roles and options of each new technology can foster greater decision-making autonomy. Sources suggest that active and open dialogue between healthcare providers and patients now play a more prominent role in deciding best course of treatment.
Ptca offers significant advantages in treating cardiac issues: its non-invasive properties minimize trauma to the body and expedite recovery. While underlining the importance of sound medical decision-making, researchers continue to challenge present technologies. At the core of effective medical practices is patient health, choice, and well-being, so understanding relevant procedures is essential for navigating these complex health issues.
Most hospitals worldwide now offer Ptca as a treatment option, signifying the ever-evolving relationship between medical innovation and patient care. Access to heart stents and other medical technologies such as ultrasound, three-dimensional imaging, and magnetic resonance imaging has improved global levels of heart health, diverting unnecessary complications away from more severe conditions.
• Persistent and spontaneous cough
• Chest tightness
• Fainting or nearly fainting upon change in posture
• Tachycardia stata evating nausea as post-workstate or waking up in middle of strenuous activity
• Cramping of the left lower abdomen
• Diastolic complete bundle
• Muscle damage that makes veins stiff
Related Post
Alachua County Mugshots 90 Days Gainesville FL: Uncovering the Issue
What's the Difference Between Feed and Story on Facebook? Uncovering the Mysteries of Your News Feed
Revolutionizing Education: Unleashing the Power of Edgecombe Moodle
West Virginia's Bumpy Road to Justice: Unveiling the Truth Behind Www.Arests.Org/Wv